Struggling with Diabetic Foot Ulcers? Try our special treatments

By offering treatments such as Hyperbaric Oxygen Therapy, Debridement, Offloading, Specialty Dressings, and more, we provide not just hope but a comprehensive approach to healing for those suffering from non-healing foot and leg wounds. 

See if advanced wound care is right for you - Request an appointment today!

What Is Turf Toe?

Turf toe is a sprain of the ligaments surrounding the big toe joint, typically occurring in athletes who play on artificial turf, though it can affect anyone engaged in activities that involve pushing off the big toe forcefully. Turf toe is usually caused by repetitive hyperextension of the big toe, often when an athlete  or dancer pushes off the ground. The injury is classified into three grades. Grade 1 involves mild stretching of the ligaments, causing minor pain and swelling. Grade 2 includes partial tearing, leading to moderate pain, bruising, and difficulty in movement. Grade 3 is a complete tear, resulting in severe pain, significant swelling, and joint instability. Symptoms of turf toe include pain, swelling, and limited range of motion in the big toe. Diagnosis is made through a physical exam and imaging studies like X-rays. Treatment varies by grade, ranging from rest for milder cases to immobilization or surgery for severe injuries. If you are suffering with what you think might be turf toe, it is suggested that you consult a podiatrist for a proper diagnosis and treatment.

Sports related foot and ankle injuries require proper treatment before players can go back to their regular routines. For more information, contact Susan Yeager, DPM of Yeager Foot and Ankle Center. Our doctor can provide the care you need to keep you pain-free and on your feet.

Sports Related Foot and Ankle Injuries

Foot and ankle injuries are a common occurrence when it comes to athletes of any sport. While many athletes dismiss the initial aches and pains, the truth is that ignoring potential foot and ankle injuries can lead to serious problems. As athletes continue to place pressure and strain the area further, a mild injury can turn into something as serious as a rupture and may lead to a permanent disability. There are many factors that contribute to sports related foot and ankle injuries, which include failure to warm up properly, not providing support or wearing bad footwear. Common injuries and conditions athletes face, including:

  • Plantar Fasciitis
  • Achilles Tendinitis
  • Achilles Tendon Rupture
  • Ankle Sprains

Sports related injuries are commonly treated using the RICE method. This includes rest, applying ice to the injured area, compression and elevating the ankle. More serious sprains and injuries may require surgery, which could include arthroscopic and reconstructive surgery. Rehabilitation and therapy may also be required in order to get any recovering athlete to become fully functional again. Any unusual aches and pains an athlete sustains must be evaluated by a licensed, reputable medical professional.

If you have any questions please contact our office located in Redding, CA . We offer the newest diagnostic and treatment technologies for all your foot and ankle needs.

Read more about Sports Related Foot And Ankle Injuries

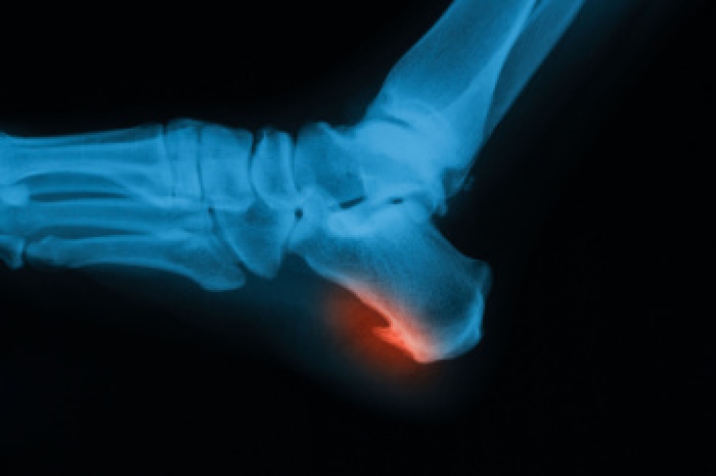
Affected Age Groups and Symptoms of Sever’s Disease

Sever's disease, also known as calcaneal apophysitis, is a common condition affecting children and adolescents, particularly those aged 8  to 14. It occurs when the growth plate in the heel becomes inflamed due to repetitive stress or overuse. This inflammation results from the strong pull of the Achilles tendon on the developing heel bone. Symptoms of Sever's disease can include heel pain, tenderness, and swelling, particularly during or after physical activities like running or jumping. Children may also experience discomfort while walking or participating in sports. This condition often resolves with rest, wearing proper footwear, and stretching exercises for the calf muscles and Achilles tendon. If your active child has heel pain, it is suggested that you promptly consult a podiatrist who can provide an accurate diagnosis and offer treatment.

Sever's disease often occurs in children and teens. If your child is experiencing foot or ankle pain, see Susan Yeager, DPM from Yeager Foot and Ankle Center. Our doctor can treat your child’s foot and ankle needs.

Sever’s Disease

Sever’s disease is also known as calcaneal apophysitis, which is a medical condition that causes heel pain I none or both feet. The disease is known to affect children between the ages of 8 and 14.

Sever’s disease occurs when part of the child’s heel known as the growth plate (calcaneal epiphysis) is attached to the Achilles tendon. This area can suffer injury when the muscles and tendons of the growing foot do not keep pace with bone growth. Therefore, the constant pain which one experiences at the back of the heel will make the child unable to put any weight on the heel. The child is then forced to walk on their toes.

Symptoms

Acute pain – Pain associated with Sever’s disease is usually felt in the heel when the child engages in physical activity such as walking, jumping and or running.

Highly active – Children who are very active are among the most susceptible in experiencing Sever’s disease, because of the stress and tension placed on their feet.

If you have any questions, please feel free to contact our office located in Redding, CA . We offer the newest diagnostic and treatment technologies for all your foot care needs.

Read more about Sever's Disease

What Is Cuboid Syndrome?

Cuboid syndrome is a condition where the cuboid bone in the foot becomes partially dislocated or misaligned, causing pain and discomfort. It often results from an injury or overuse, particularly in athletes or individuals who engage in activities involving repetitive stress on the feet, such as running or jumping. Symptoms include pain on the lateral side of the foot, difficulty walking, and swelling or tenderness surrounding the cuboid bone. Diagnosis is typically made through physical examination and medical history, as it may not always appear on standard imaging tests. Treatment involves realigning the cuboid bone, which can be done through manipulation techniques performed by a podiatrist. Additional treatments can include rest, compression, elevation, and supportive footwear, or orthotics to alleviate stress on the affected area. If you have pain on the lateral side of your foot, it is suggested that you schedule an appointment with a podiatrist for a proper diagnosis and treatment.

Cuboid syndrome, also known as cuboid subluxation, occurs when the joints and ligaments near the cuboid bone in the foot become torn. If you have cuboid syndrome, consult with Susan Yeager, DPM from Yeager Foot and Ankle Center. Our doctor will assess your condition and provide you with quality foot and ankle treatment.

Cuboid syndrome is a common cause of lateral foot pain, which is pain on the outside of the foot. The condition may happen suddenly due to an ankle sprain, or it may develop slowly overtime from repetitive tension through the bone and surrounding structures.

Causes

The most common causes of cuboid syndrome include:

  • Injury – The most common cause of this ailment is an ankle sprain.
  • Repetitive Strain – Tension placed through the peroneus longus muscle from repetitive activities such as jumping and running may cause excessive traction on the bone causing it to sublux.
  • Altered Foot Biomechanics – Most people suffering from cuboid subluxation have flat feet.

Symptoms

A common symptom of cuboid syndrome is pain along the outside of the foot which can be felt in the ankle and toes. This pain may create walking difficulties and may cause those with the condition to walk with a limp.

Diagnosis

Diagnosis of cuboid syndrome is often difficult, and it is often misdiagnosed. X-rays, MRIs and CT scans often fail to properly show the cuboid subluxation. Although there isn’t a specific test used to diagnose cuboid syndrome, your podiatrist will usually check if pain is felt while pressing firmly on the cuboid bone of your foot.

Treatment

Just as the range of causes varies widely, so do treatments. Some more common treatments are ice therapy, rest, exercise, taping, and orthotics.

If you have any questions, please feel free to contact our office located in Redding, CA . We offer the newest diagnostic and treatment technologies for all your foot care needs.

Read more about All About Cuboid Syndrome

Causes of Pain in Different Parts of the Foot

Pain in various parts of the foot can stem from diverse factors. Heel pain, often attributed to plantar fasciitis, results from inflammation of the thick band of tissue connecting the heel to the toes. Arch pain may indicate issues like flat feet or overpronation, where the arch collapses excessively during walking or running. Pain in the ball of the foot could be due to conditions such as metatarsalgia, a result of excessive pressure on the ball of the foot. Additionally, toe pain may result from conditions like bunions, hammertoes, or ingrown toenails. Ankle pain can be caused by sprains, fractures, or Achilles tendon injuries. Contributing factors include overuse, improper footwear, structural abnormalities, and injuries. A diagnosis by a podiatrist is essential for determining the underlying cause of foot pain. If you have pain in your feet, it is strongly urged that you consult this type of doctor who can accurately diagnose and treat foot pain.

Foot Pain

Foot pain can be extremely painful and debilitating. If you have a foot pain, consult with Susan Yeager, DPM from Yeager Foot and Ankle Center. Our doctor will assess your condition and provide you with quality foot and ankle treatment.

Causes

Foot pain is a very broad condition that could be caused by one or more ailments. The most common include:

  • Bunions
  • Hammertoes
  • Plantar Fasciitis
  • Bone Spurs
  • Corns
  • Tarsal Tunnel Syndrome
  • Ingrown Toenails
  • Arthritis (such as Gout, Rheumatoid, and Osteoarthritis)
  • Flat Feet
  • Injury (from stress fractures, broken toe, foot, ankle, Achilles tendon ruptures, and sprains)
  • And more

Diagnosis

To figure out the cause of foot pain, podiatrists utilize several different methods. This can range from simple visual inspections and sensation tests to X-rays and MRI scans. Prior medical history, family medical history, and any recent physical traumatic events will all be taken into consideration for a proper diagnosis.

Treatment

Treatment depends upon the cause of the foot pain. Whether it is resting, staying off the foot, or having surgery; podiatrists have a number of treatment options available for foot pain.

If you have any questions, please feel free to contact our office located in Redding, CA . We offer the newest diagnostic and treatment technologies for all your foot care needs.

Read more about Foot Pain

Connect With Us

scroll to top